Ответы на вопрос » здоровье и медицина » В каком случае при переломе устанавливаются спицы?
                                 
Задавайте вопросы и получайте ответы от участников сайта и специалистов своего дела.
Отвечайте на вопросы и помогайте людям узнать верный ответ на поставленный вопрос.
Начните зарабатывать $ на сайте. Задавайте вопросы и отвечайте на них.
Закрыть меню
Вопросы без Ответа Радио


В каком случае при переломе устанавливаются спицы?


опубликовал 31-01-2024, 18:40
В каком случае при переломе устанавливаются спицы?


Ответы на вопрос:

  1. Гена
    Gena 31 января 2024 20:21

    отзыв нравится 0 отзыв не нравится

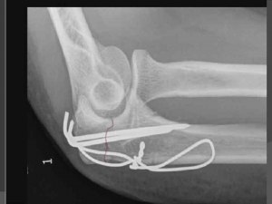
    Спицы могут устанавливаться при переломе в следующих случаях:

    1. Комплексный перелом: если перелом костей сложный и требует дополнительной стабилизации, врач может решить установить спицы для обеспечения более надежной фиксации и лучшего выравнивания костей.

    2. Нестабильный перелом: если перелом сопровождается значительным смещением или нестабильностью костей, установка спиц может помочь предотвратить дальнейшее смещение и обеспечить лучшее заживление.

    3. Многофрагментарный перелом: при наличии нескольких фрагментов перелома, спицы могут использоваться для соединения фрагментов и создания более устойчивой конструкции.

    4. Открытый перелом: если перелом сопровождается разрывом кожи и наружным выступлением костей, установка спиц может помочь предотвратить инфекцию и обеспечить правильное заживление.

    5. Положительный эффект: врач может принять решение установить спицы, если это обещает улучшить результаты лечения и ускорить процесс заживления.

    Ссылка на ответ | Все вопросы
    31
    01
Добавить ответ
Ваше Имя:
Ваш E-Mail:
Введите два слова, показанных на изображении: *




Показать все вопросы без ответов >>